
Imagenología Diagnóstica y Terapéutica
Certificado por el Consejo Mexicano de Radiología e Imagen No. 6202
Cédula Profesional: 9037274
Cédula Profesional Especialidad: 11653511
Universidad Autónoma de Baja California
Universidad Nacional Autónoma de México
Consultorio: (662) 460 9755
Urgencias: (615) 155 7063
Lunes a viernes de 8:00 am a 1:00 pm y de 2:00 pm a 5:00 pm. Sábados de 9:00 am a 1:00 pm.
Carretera a Ures 3.5 km 83.
San Pedro el Saucito, Hermosillo, Sonora.
Especialista en Diagnóstico por Imagen
El ultrasonido es casi siempre la primera modalidad de imagen solicitada por la mayoría de los médicos generales y especialistas al momento de buscar un diagnóstico. Su realización debe ser llevada acabo por un médico especialista en Imagenología como el Dr. José Luis De la Torre.
Además de brindarles el servicio en consultorio, tenemos la opción de ultrasonido a domicilio para todos aquellos pacientes que no puedan trasladarse a un centro de diagnóstico. La portabilidad del equipo y el conocimiento radiológico proveen una certeza diagnóstica igual a la obtenida en un gabinete.

Ultrasonografía de calidad
Acreditación por The Fetal Medicine Foundation para la realización de ultrasonido obstétrico
Además de realizar ultrasonido en general, el Dr. José Luis De la Torre está acreditado por una de las asociaciones con mayor prestigio en la preparación de profesionales de la salud para la realización de ultrasonido obstétrico especializado. Estos dos ultrasonidos son el de tamizaje del 1er trimestre y el estructural durante el 2do trimestre.
El ultrasonido de tamizaje es un estudio que debe llevarse acabo durante las 11-14 semanas de embarazo. Su utilidad radica en establecer un riesgo estimado de que el feto tenga alguna alteración cromosómica que pueda traducirse en Síndrome de Down, Patau, Edwards, entre otros.
El ultrasonido estructural se realiza durante el 2do trimestre del embarazo, especialmente entre las 20-24 semanas. En esta exploración el doctor evaluará la anatomía fetal de la cabeza a los pies, observando cada una de las estructuras cerebrales, pulmones, corazón, vísceras abdominales, genitales externos, entre muchas otras cosas más.

Ultrasonido 2D
En este rubro encajan prácticamente todos los estudios de ultrasonido diagnóstico. En esta modalidad observamos la imagen clásica en blanco y negro.
- Ultrasonido Abdominal
- Ultrasonido Gineco-Obstétrico
- Ultrasonido Mamario
- Ultrasonido Musculoesquelético
- Ultrasonido de Partes Blandas
- Biopsia guiada por ultrasonido
Ultrasonido 3D/4D/5D
La carita de tu bebé como siempre la quisiste ver. Esta modalidad te permitirá conocerlo de una forma más realista y natural.
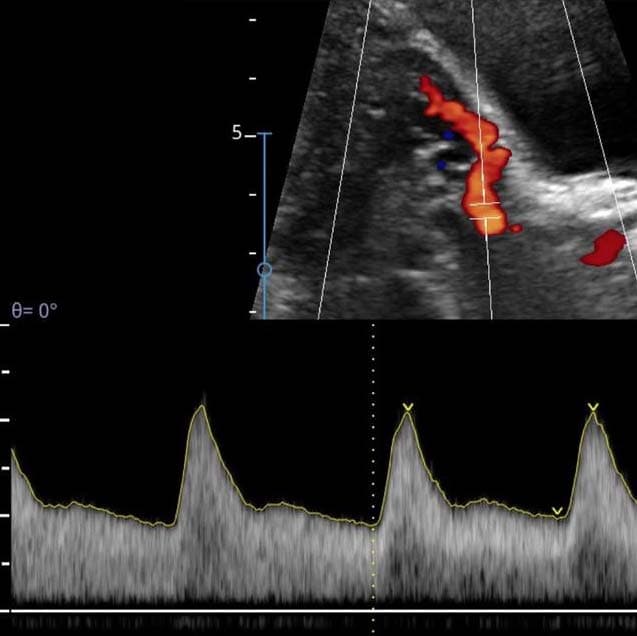
Ultrasonido Doppler
El ultrasonido Doppler a su vez tiene sus modalidades que son: Doppler Color, Doppler Poder y Doppler pulsado. La mayoría de ellos utilizados para la evaluación de los vasos sanguíneos y el comportamiento de su flujo, ya sean arterias o venas.
- Doppler Carotídeo
- Doppler Piernas
- Doppler Brazos
- Doppler Renal
- Doppler Hepático
Ultrasonido a Domicilio
Brindamos asistencia en la comodidad de su hogar, pudiendo implementar las modalidades 2D y Doppler a la cama del paciente, sin la necesidad de movilizarlo a un centro de diagnóstico, clínica u hospital.

¿Alguna pregunta o más información?
El Dr. José Luis De la Torre está para resolver cualquier duda que tengas.

Tu diagnóstico en buenas manos
Nos encantaría asesorarte personalmente
Consultorio: (662) 460 9755
Urgencias: (615) 155 7063
contacto@doctorjoseluisdelatorre.com
Lunes a viernes de 8:00 am a 1:00 pm y de 2:00 pm a 5:00 pm. Sábados de 9:00 am a 1:00 pm.
Carretera a Ures 3.5 km 83.
San Pedro el Saucito, Hermosillo, Sonora.